-
Other Procedures
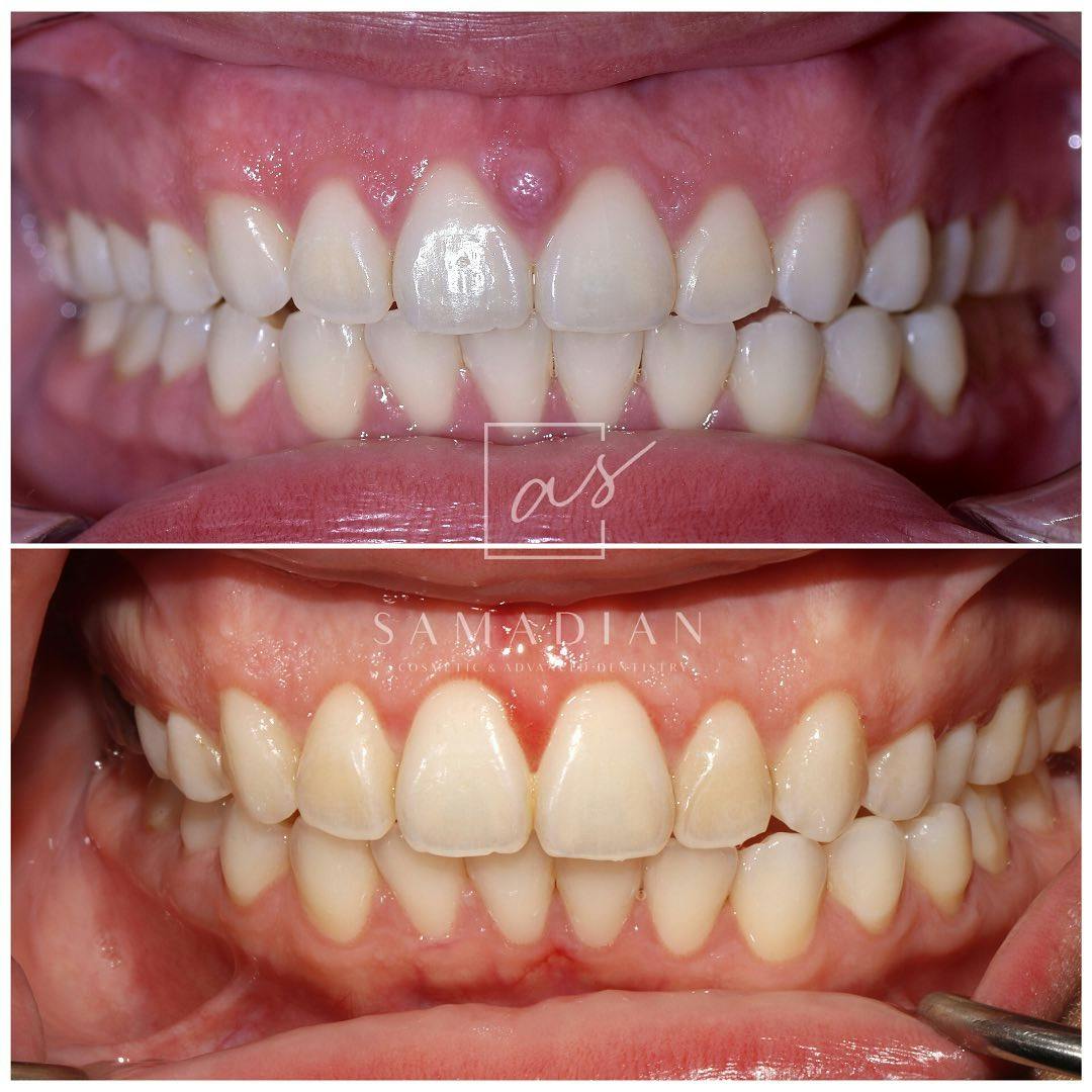
For this case, our patient had a noticeable fibroma on her gums, between her two front teeth as well as short teeth and a gummy smile. A fibroma is typically a benign fibroid or fibroid tumor that's composed of fibrous, or connective, tissue. We removed the fibroma with a laser then treated her gummy smile with Botox and her short teeth with a #GumLift. It takes an eye for detail and exceptional experience, like Dr. Samadian's, to perform such a flawless enhancement on our patient!















