-
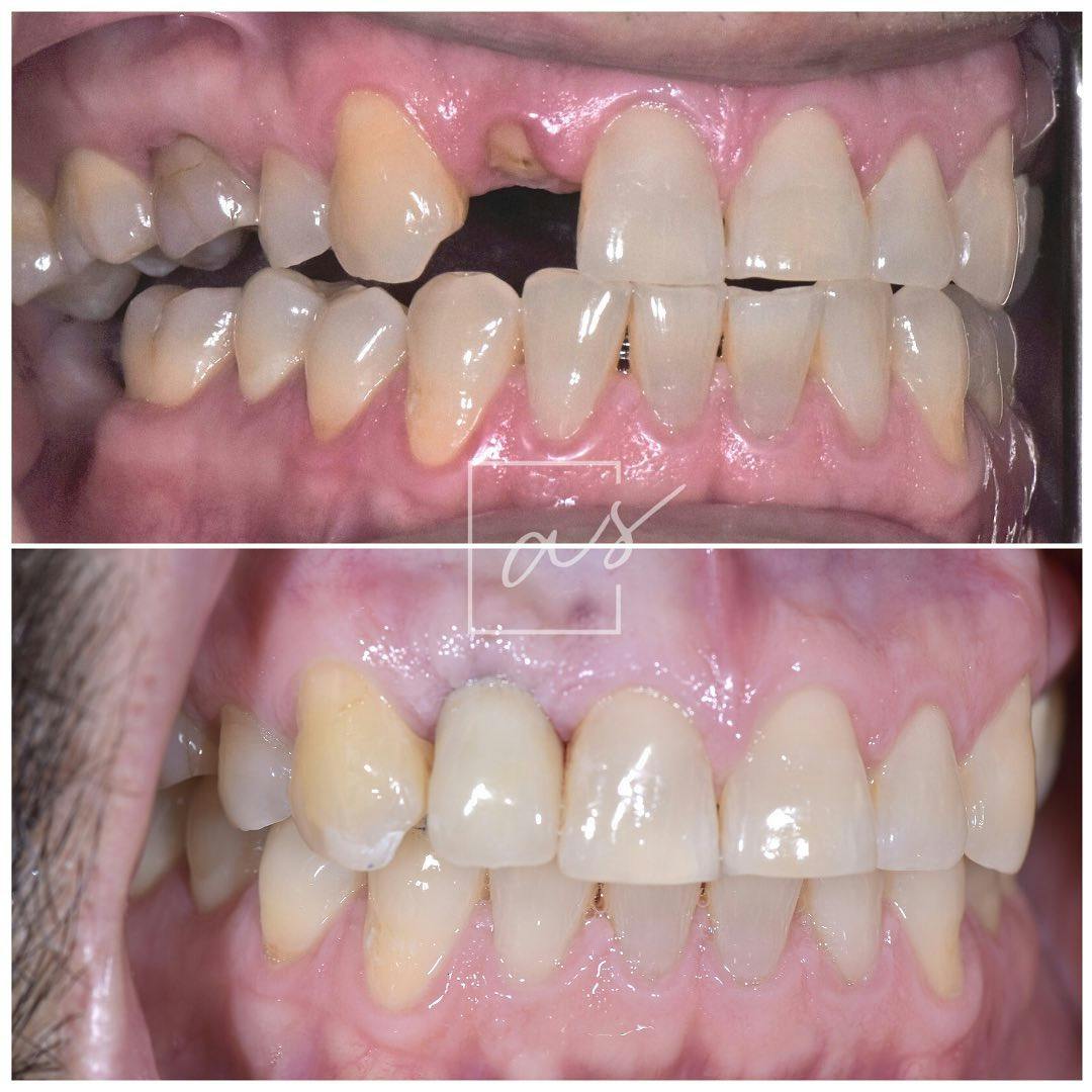
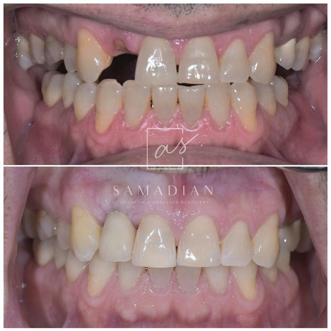
Dental Implants
In this particular case, we employed immediate extraction and a temporary implant crown to sculpt the patient’s gum tissue. This process happens in a single visit where the tooth comes out and the dental implant and bone graft is placed, and the temporary implant supported crown goes over the implant. In 6 months our patient will receive his final porcelain crown in place of the temporary for ultimate aesthetics.
Individual results may vary.








